Holly Springs Endodontics

Root Canals

What Are Root Canals?

A root canal may be needed if the decay has reached the tooth's nerve. Essentially, a root canal involves cleaning out a tooth's infected root, then filling and sealing the canal.

Procedure:

  1. An opening is made through the crown of the tooth into the pulp chamber.
  2. The pulp is removed, and the root canals are cleaned, enlarged and shaped.
  3. The infected area is medicated.
  4. The root canals are filled.
  5. The crown opening is filled with a temporary.

Why a Root Canal?

A cavity that has been left untreated can become larger. Once the cavity reaches the pulp of the tooth, an infection forms at the base of the root canal, causing an abscess. This abscess is generally painful and will need to be removed.

Root Canal

How much does a root canal cost?

A root canal can relieve pain, help save your tooth, and get you back to smiling and eating again. Root canal cost will vary based on the location and condition of the affected tooth. Putting off a root canal, however, can lead to more expensive dental procedures down the road or the permanent loss of your tooth.

Saving your natural teeth is usually the first plan of action as they are often better at biting and chewing that replacement he such as dentures, implants, or bridges. It is oftentimes less costly to do a root canal than replace the tooth. When a natural tooth is pulled but not replaced, the teeth around it may shift, making it more difficult to bite, chew, and clean your teeth well, which can lead to further problems.

Patient presented on the day of treatment with significant bone loss and infection.
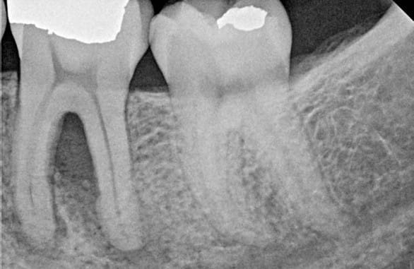
Patient presented one year after treatment and post-op x-ray reveals successful root canal treatment and healing.